Froschhaut...

...ist nicht unbedingt das, was junge Prinzessinen zu amourösen Abenteuern hinreisst, hier wie dort geht es um die inneren Werte. Die werden beim Frosch durch eine Tarnfunktion verborgen, die dafür sorgen, dass der Frosch in seiner Umgebung nicht zu dick aufträgt. Ausserdem bleiben Frösche die meiste Zeit still sitzen, um es Bewegungssehern nicht allzu leicht zu machen. Was das bedeutet, weiss ein Frosch zu genau, Er ist nämlich selbst ein Bewegungsseher. Sprich: Zuckt was, schnappt man entweder danach, oder man hüpft weg, um nicht geschnappt zu werden.

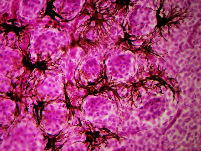
rana, Schwimmhaut der Zehen, Planachromat 16/0,35, Kpl 10x, Präparation: Macmillan, USA, Canon A95


Diese Zellen, die ein wenig an Astrocyten (Gehirnzellen) erinnern, haben den Zweck, den Frosch in seiner Tarnkleidung erscheinen zu lassen, und lustigerweise machen gerade diese Pigmente etwas sichtbar, was in anderen Präparaten mühseelig angefärbt werden muss: Die Zellkerne. Sie sind die Steuereinheiten der einzelnen Zellen, und, auf einem nicht ganz trivialem Wege, des gesamten Organismus. Im oben gezeigten Präparat erahnt man auch das ein oder andere Blutgefäss. Die "Flecken" sind aber Teil einer weiter unten liegenden Hautschicht. Dies sollte man evt. an einem Querschnitt illustrieren:

rana, Planachromat 16/0,35, Kpl 8x, Canon A95


Man sieht wohl recht deutlich, dass diese Pigmentzellen nicht in der ersten Reihe sitzen. Neben diesen Pigmentzellen sieht man gleich 4 Drüsen, und Schnitte durch die Drüsenkanäle, die den Frosch schön schleimig halten. Schleimig spricht nicht immer für devote Freundlichkeit, bei manchen Amphibien produzieren solche Drüsen ein Gift, das ein guter Grund ist, gewisse Frösche _nicht_ zu küssen. Ganz oben liegt eine Schicht von Ephithelzellen, dies ist eine Zellsorte, die auch ganz wesentlich beim Aufbau der inneren Organe beteiligt ist. Sie sehen hier von der Seite aus wie ein Stück Mauer, und bilden hier die Grenze zur Aussenwelt. Werden sie leicht abgeschliffen, wird das Erscheinungsbild der Haut eher weich und prinzessinenfreundlich. Man sieht im bild, wie lose die oberste Schicht angebracht ist. Bleiben sie dran, bildet sich Hornhaut. Man kann quasi zusehen, wie sich eine Schicht nach der anderen vom Frosch verabschiedet:

rana esculenta, Planachromat 16/0,35, Kpl 10x, Präparation: Macmillan, USA, Canon A95


Unten links steht eine Zelle hochkant. Daran sieht man, wie dünn die Zellen eigentlich sind. Auch kann man schön erkennen, wie vermieden wird dass die Zellen direkt übereinander zu liegen kommen. Die Zellen wissen wie immer ganz genau, wo sie hinzuwachsen haben...

home  mikroseite   froschseite